"Having orthodontic treatment with Dr. Seely gave me a sensational new smile that generates continual compliments and a fantastic new and younger style. I say, Go for it!”

Dr. Dona Seely has been a specialist in the field of orthodontics for over 30 years. She is a graduate of the University of Washington, where she received both her dental degree and her masters in orthodontics. She was given the “Alpha Omega Fraternity Award” for having the highest scholastic average for her four years of dental study. She became Board Certified by the American Board of Orthodontics in 1988. Dr. Seely is committed to a reputation of excellence in orthodontic treatment and personalized care. She was voted by her peers as the “The Best Dentist of America”! Dr. Seely was also selected “Top Dentist” by Consumers Research Council of America and Seattle Metropolitan Magazine.

• Free exam and consultation
• 0% in house financing available
• AFFORDABLE PAYMENT PLANS
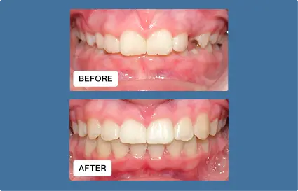
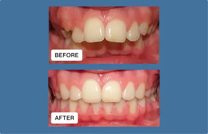
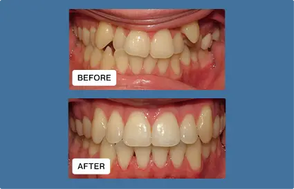
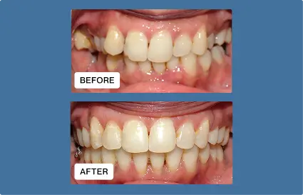
Dr. Seely’s orthodontic team has worked together for many years, creating a strong foundation of trust, skill, and collaboration. Each team member is highly trained and committed to delivering exceptional care and service. Together, we strive for orthodontic excellence and are dedicated to making your journey not only successful but also pleasant and rewarding. At our practice, we are passionate about creating beautiful, healthy smiles. But we don’t just straighten teeth—we take a comprehensive approach that considers the entire face, including lip support, facial balance and asymmetries. A truly healthy smile does more than improve appearance—it boosts confidence and enhances overall well-being in powerful ways. Dr. Seely is a leader in comprehensive orthodontic care, with over 30 years of experience and creating many original techniques, she can treat the most complicated cases to ideal. Her expertise extends beyond regular orthodontics to include airway health, sleep apnea, and TMJ disorders. Known for her meticulous attention to detail, Dr. Seely designs each smile to complement the patient’s unique facial features – truly an artist in smile design. As a private practice, we prioritize personalized care. You won’t be passed from one provide to another or rushed through your appointments and treated by technicians as in a corporate-owned orthodontic business. Instead, you will receive dedicated attention from one orthodontist, Dr. Seely.

Dr. Dona Seely brings over three decades of specialized experience in creating healthy, beautiful smiles with balance and precision.

As a board-certified orthodontist near you, Dr. Seely is committed to the highest standards of care, continuing education, and exceptional clinical outcomes.

We go beyond straight teeth—focusing on facial balance, profile enhancement, lip support, and airway health for long-term wellness.

From your first visit to your final results, our team ensures a welcoming, personalized experience in a warm and professional environment.

A trusted private practice focused on personalized, compassionate care — not a rushed, corporate-owned business.



